Follicular adenoma - Case 22. |
|
Clinical data: a 33-year-old woman with a goiter detected on a routine physical examination.
Palpation: a solitary nodule in the enlarged right lobe.
Functional state: euthyroidism with TSH-level 1.68 mIU/L.
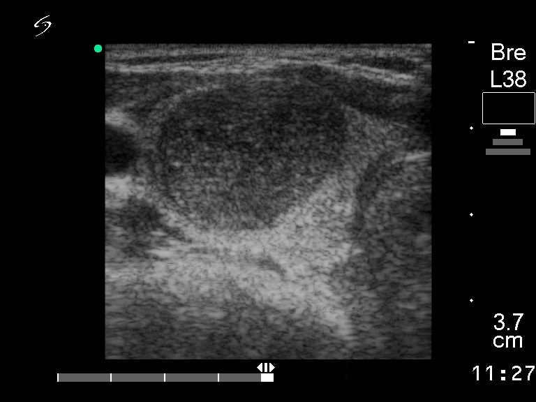
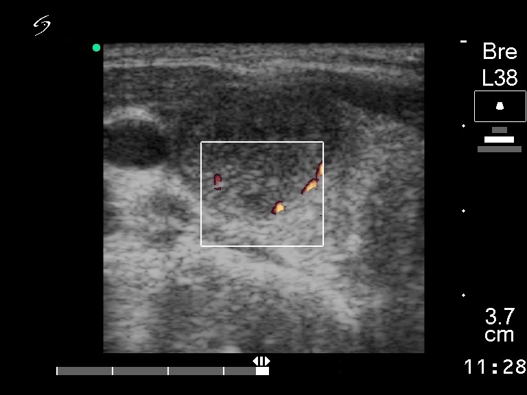
Ultrasonography: a solitary hypoechogenic nodule in the right lobe with a halo sign and perinodular blood flow.
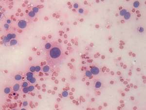
Cytological report: follicular tumor.
Suggestion: surgery.
Histopathology: follicular adenoma.








