|
|
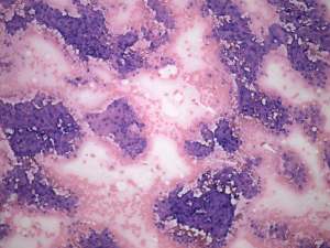
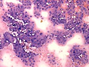
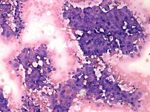
Papillary carcinoma - Case 1. |
|
Clinical data: a 47-year-old woman was referred for an evaluation of a nodular goiter which was discovered by the patient herself.
Palpation: a moderately firm nodule in the left lobe.
Functional state: euthyroidism (TSH-level 1.17 mIU/L).
Ultrasonography: the thyroids were echonormal. There were several insignificant lesions in the right while two nodules in the left lobe. One of the latter was echonormal and presented a halo sign and perinodular blood flow. The other nodule was hypoechogenic, inhomogeneous and contained microcalcifications.
Cytological diagnosis (from the hypoechogenic nodule): papillary cancer.
Histopathology: papillary cancer based on the nodule aspirated and normofollicular adenoma according to the echonormal nodule. There were metastatic foci in the right lobe and in several lymph nodes in the left side of the neck.










