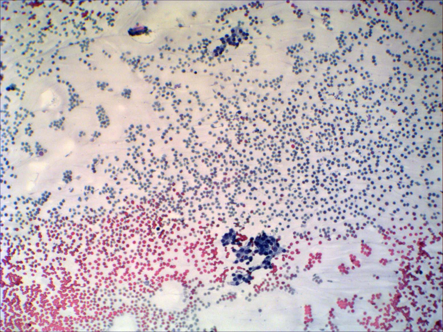
Benign nodular hyperplasia - Case 23. (cytologic picture 1)
|
|
|
|
|
Pap-smear, 100x. There is no colloid in the background. Several cell groups with micro- and normofollicular pattern.

