Menu
Case histories
Lectures
Benign nodular hyperplasia
List of cases
Videorecords
Pitfalls
Course book
Course on US
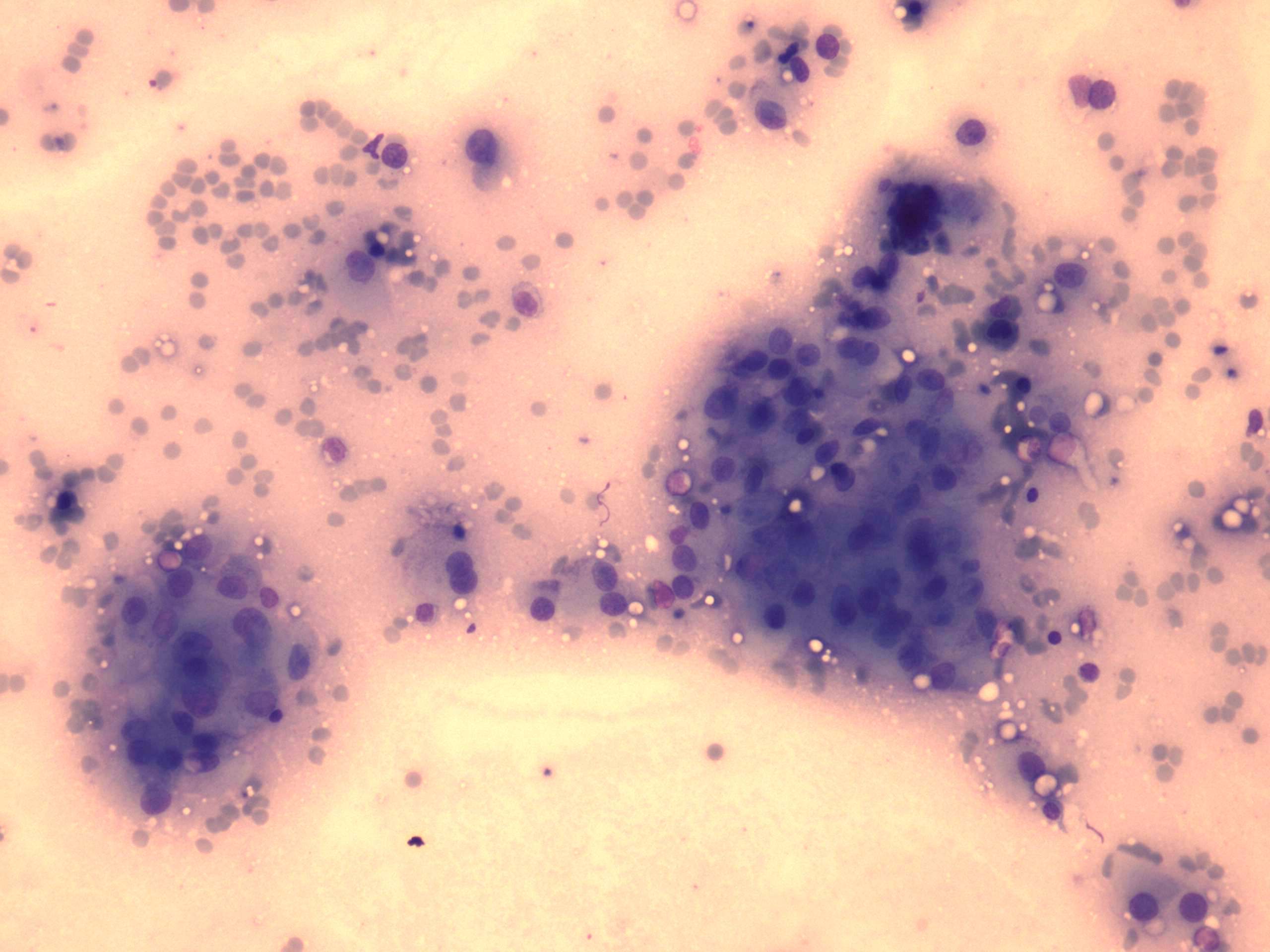
Benign nodular hyperplasia - Case 37. (cytologic picture 8)
Wright-Giemsa staining, 200x. Follicular cells have abundant cytoplasm.