Menu
Case histories
Lectures
Benign nodular hyperplasia
List of cases
Videorecords
Pitfalls
Course book
Course on US
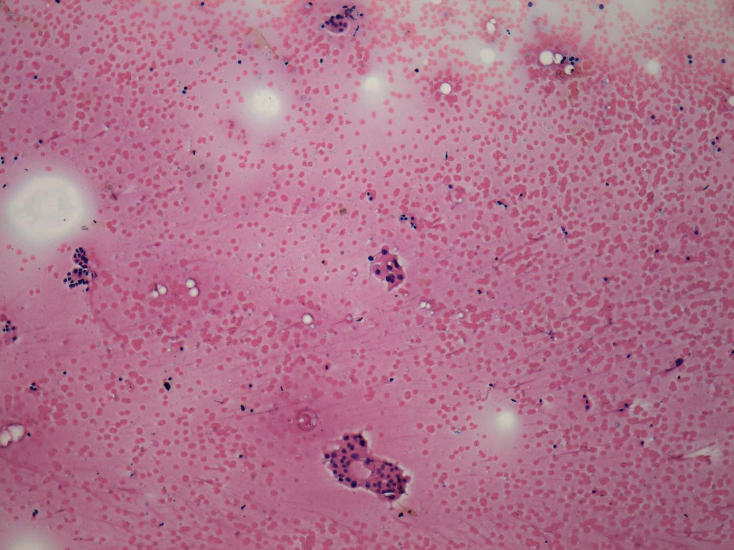
Benign nodular hyperplasia - Case 50. (cytologic picture 1)
Pap-smear, 100x. There are small clusters of follicular cells within a colloidal background.