Benign nodular hyperplasia - Case 7. |
|
Clinical presentation: a 47-year-old man was referred for an evaluation of a nodular goiter causing tracheal compression detected on CT scan. The latter was performed because of progressive cough. The patient was an active actor.
Palpation: the right lobe was enlarged.
Functional state: euthyroidism with TSH-level 1.71 mIU/L.
Ultrasonography: the right thyroid contained a large moderately hypoechogenic nodule, while the left lobe was atrophic.
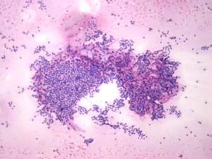
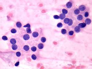
Cytology: there was diffuse colloid precipitate in the background. Follicular cells were located in monolayered sheets, and in normo- and microfollicles. They did not exhibit significant atypia.
Cytological diagnosis: benign follicular proliferation.
Taking the results of sonography and cytology into account, the possibility of autonomous adenoma was raised, and we indicated scintigraphy which resulted in autonomously functioning adenoma in the right lobe. The patient was treated with radioiodine.
Comments:
-
The presence of a large nodule in one lobe and the atrophy of the contralateral lobe in a patient with suppressed TSH level is almost diagnostic for autonomously functioning adenoma. If the TSH is normal as in this case, the chance of toxic nodule is much less, but is in the range of 10-50%.
-
We indicate scintigraphy only in those cases where it may have any consequences. Although the radioiodine therapy generally has only temporary effect in such large nodules and most patients have to be operated later, considering the professional and the age of the patient, there was a great interest to gain even a few years with radioiodine therapy.










