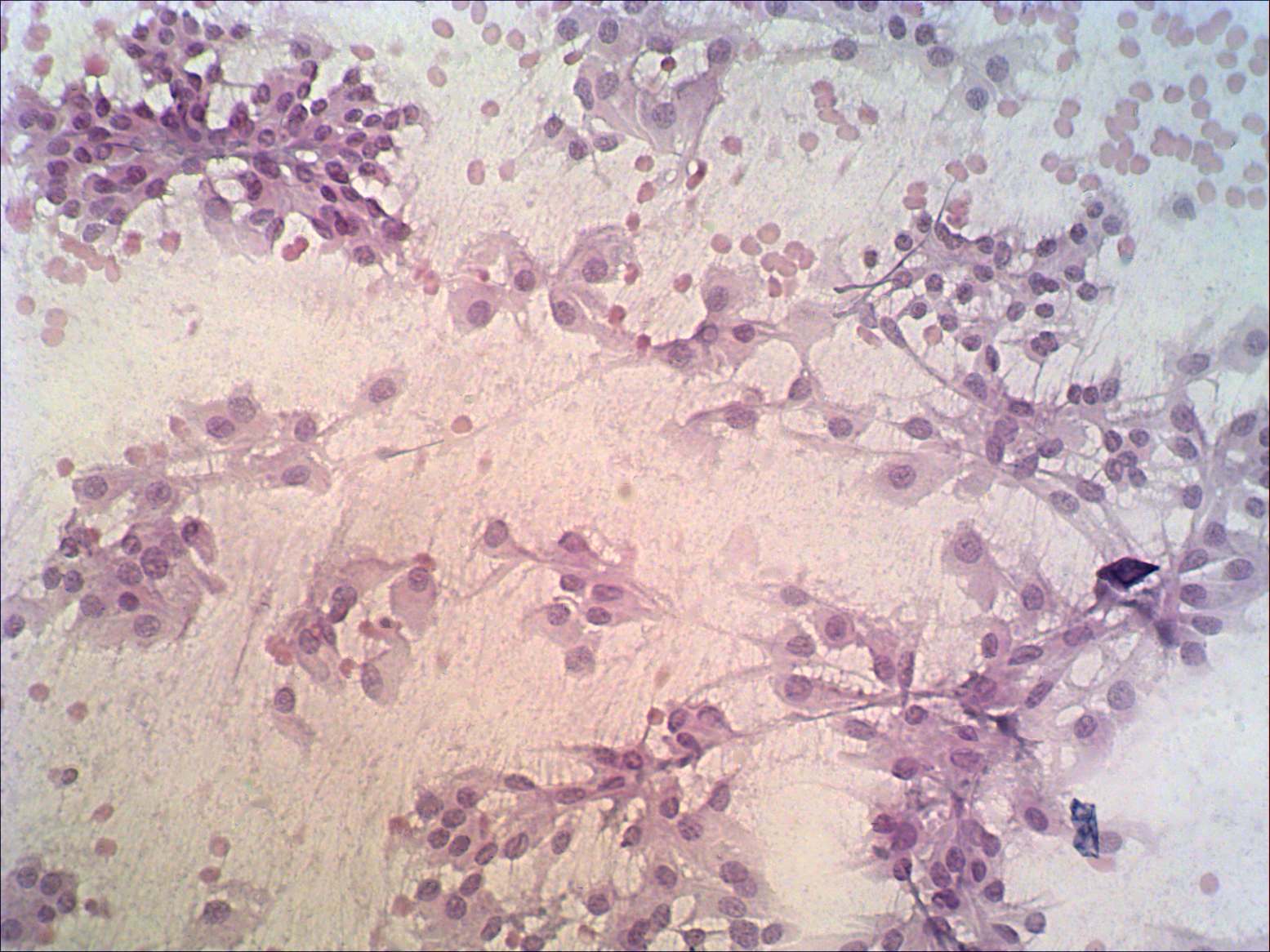
Pap-smear, 200x. Follicular cells are located in syncytial groups and in one trabecula (left side on the picture).