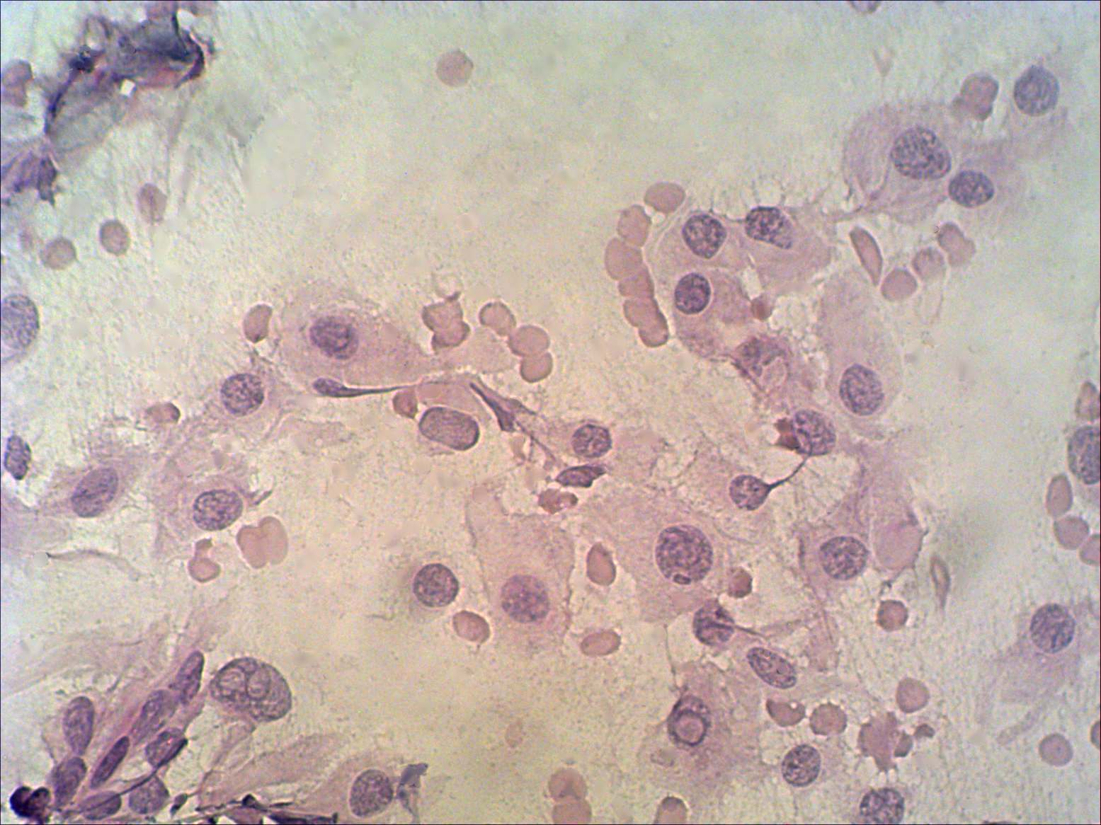
Oxyphilic adenoma - Case 17. (cytologic picture 4)
|
|
|
|
|
Pap-smear, 400x. The chromatin structure is scratchy. One cell with a double inclusion. This finding is very rare in benign thyroid lesions.

