Chronic lymphocytic thyroiditis - Case 34.
Initial investigation - 5 months after delivery (cytologic picture 1)
|
|
|
|
|
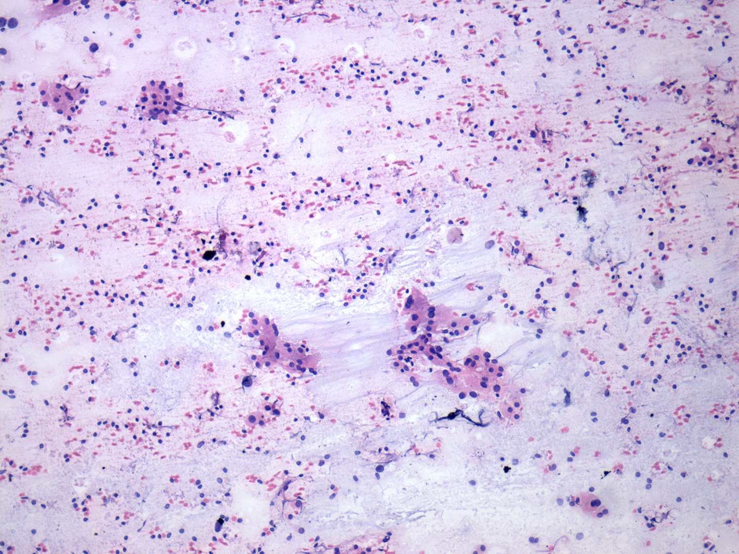
Pap-smear, 100x. Oxyphilic cell groups are found in a background composed of heterogeneous lymphoid cells.

