Chronic lymphocytic thyroiditis - Case 34.
Initial investigation - 5 months after delivery (cytologic picture 2)
|
|
|
|
|
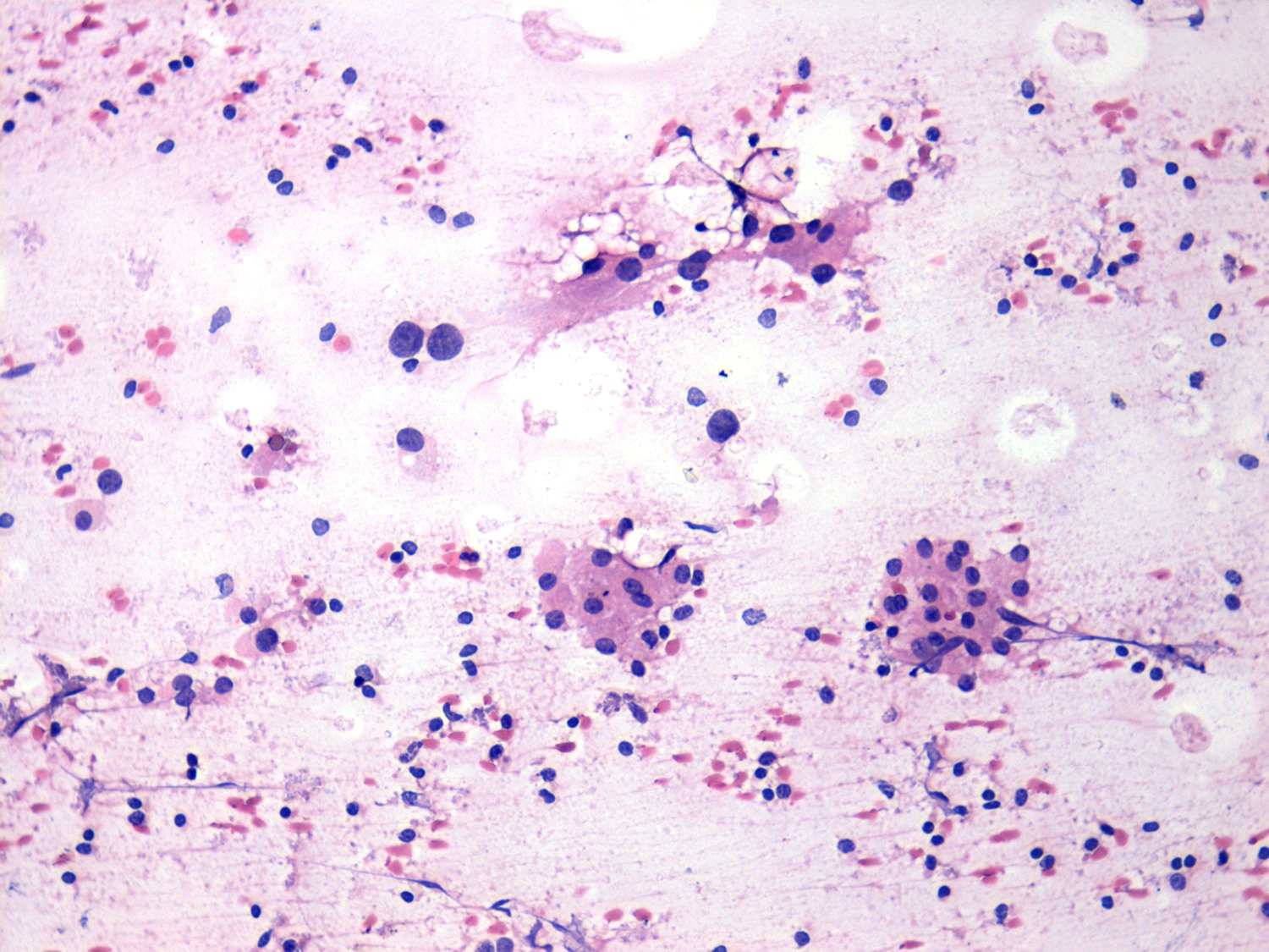
Pap-smear, 200x. There are several extremely enlarged follicular cells. This type of atypia is frequently seen in thyroid dysfunction.

