Chronic lymphocytic thyroiditis - Case 34.
Initial investigation - 5 months after delivery (cytologic picture 3)
|
|
|
|
|
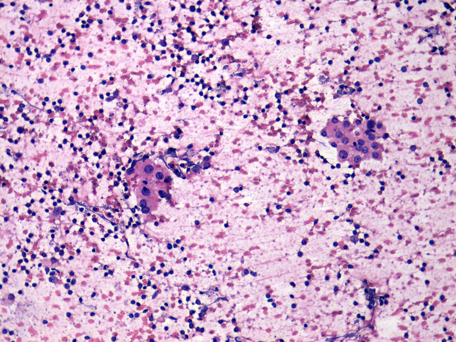
Pap-smear, 200x. Compact clusters of follicular cells mixed with lymphoid cells.

