Follicular adenoma - Case 20. |
|
Clinical data: a 41-year-old man with a thyroid nodule known for years. Previous FNAC performed in another hospital disclosed colloid goiter. He noticed that the nodule increased in size in the previous months.
Palpation: a solitary firm nodule in the left lobe.
Functional state: euthyroidism with TSH-level 1.33 mIU/L.
Ultrasonography: a solitary hypoechogenic nodule with central cystic degeneration in the left lobe. The nodule displayed a halo sign and perinodular and intranodular blood flow.
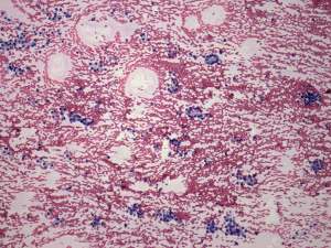
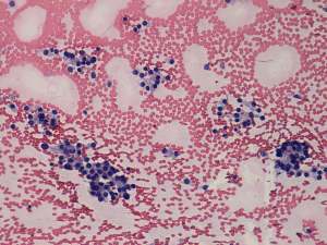
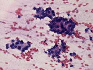
Cytological report: follicular tumor.
Suggestion: surgery.
Histopathology: follicular adenoma.








