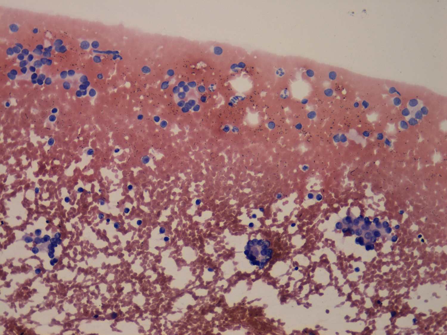
The role of complex diagnosis - follicular proliferation - Case 2. (cytologic picture 2)
doi: 10.24390/thyrocase772n.06
|
|
|
|
|
Pap-smear, 200x. Dispersed cells and microfollicles predominate the smear.

