The role of complex diagnosis - follicular proliferation - Case 2.doi: 10.24390/thyrocase772n.00 |
|
Clinical presentation. A 35-year-old woman was referred for an evaluation of a nodular goiter discovered during physical examination.
Palpation: a large nodule located in the isthmus and in the left lobe.
Functional state: euthyroidism with TSH-level 1.87 mIU/L.
Ultrasonography. The thyroid was minimally-moderately hypoechogenic and presented small, more hypoechogenic areas. There was a hypoechogenic nodule in the right lobe while a hyperechogenic one in the left thyroid and in the isthmus.
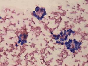
Cytology was performed from the smaller hypoechogenic nodule, and resulted in benign follicular proliferation.
A combined clinical-ultrasound-cytological diagnosis was benign lesion with the risk of malignancy less than 1%.
The patient was operated because of the size of the left nodule.
Histopathology disclosed benign, hyperplastic nodules and chronic lymphocytic thyroiditis in the extranodular part of the thyroid.
Comment. This case demonstrates the insufficiency of the current reporting system. The cytological picture corresponds to a microfollicular tumor, therefore the cytopathologist has no other possibility than to give a diagnosis which requires surgical exploration. However, the ultrasonography argues against the possibility of a follicular tumor. First, the presence of multiple nodules and even more importantly the lack of perinodular blood flow. Naturally, we cannot fully exclude the possibility of a follicular tumor on the sonographic pattern but the likelihood is low. Moreover, taken the ultrasound into account, the risk of malignancy is very low.
This case was also enlisted among benign hyperplastic nodules - case 2.
.










