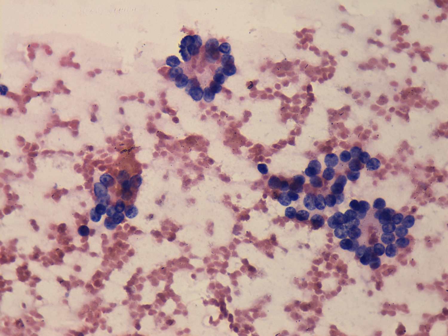
The role of complex diagnosis - follicular proliferation - Case 2. (cytologic picture 3)
doi: 10.24390/thyrocase772n.07
|
|
|
|
|
Pap-smear, 400x. This is a typical microfollicular proliferation. Follicular cells are of even size.

