Menu
Case histories
Lectures
Benign nodular hyperplasia
List of cases
Videorecords
Pitfalls
Course book
Course on US
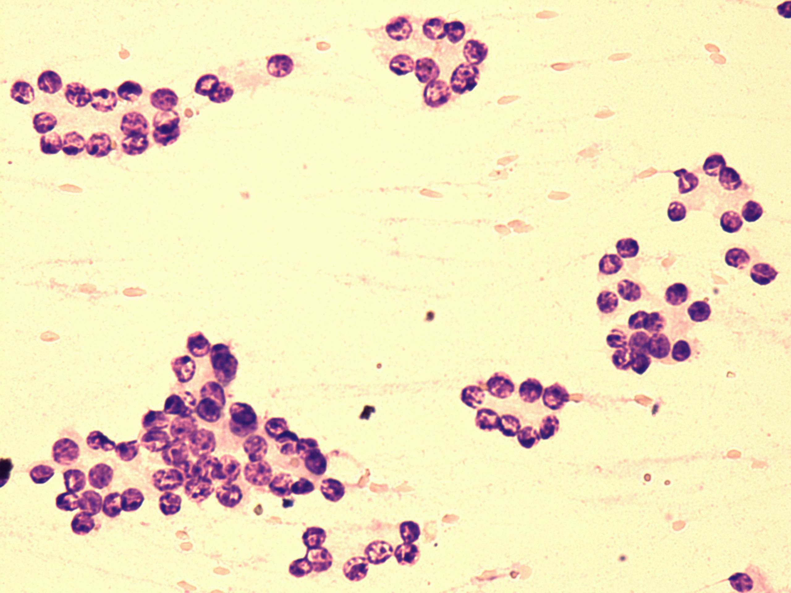
Benign nodular hyperplasia - Case 44. (cytologic picture 4)
Wright-Giemsa staining, 400x. Follicular cells are of even size and display degenerative changes.