Menu
Case histories
Lectures
Lymphocytic thyroiditis
List of cases
Videorecords
Pitfalls
Course book
Course on US
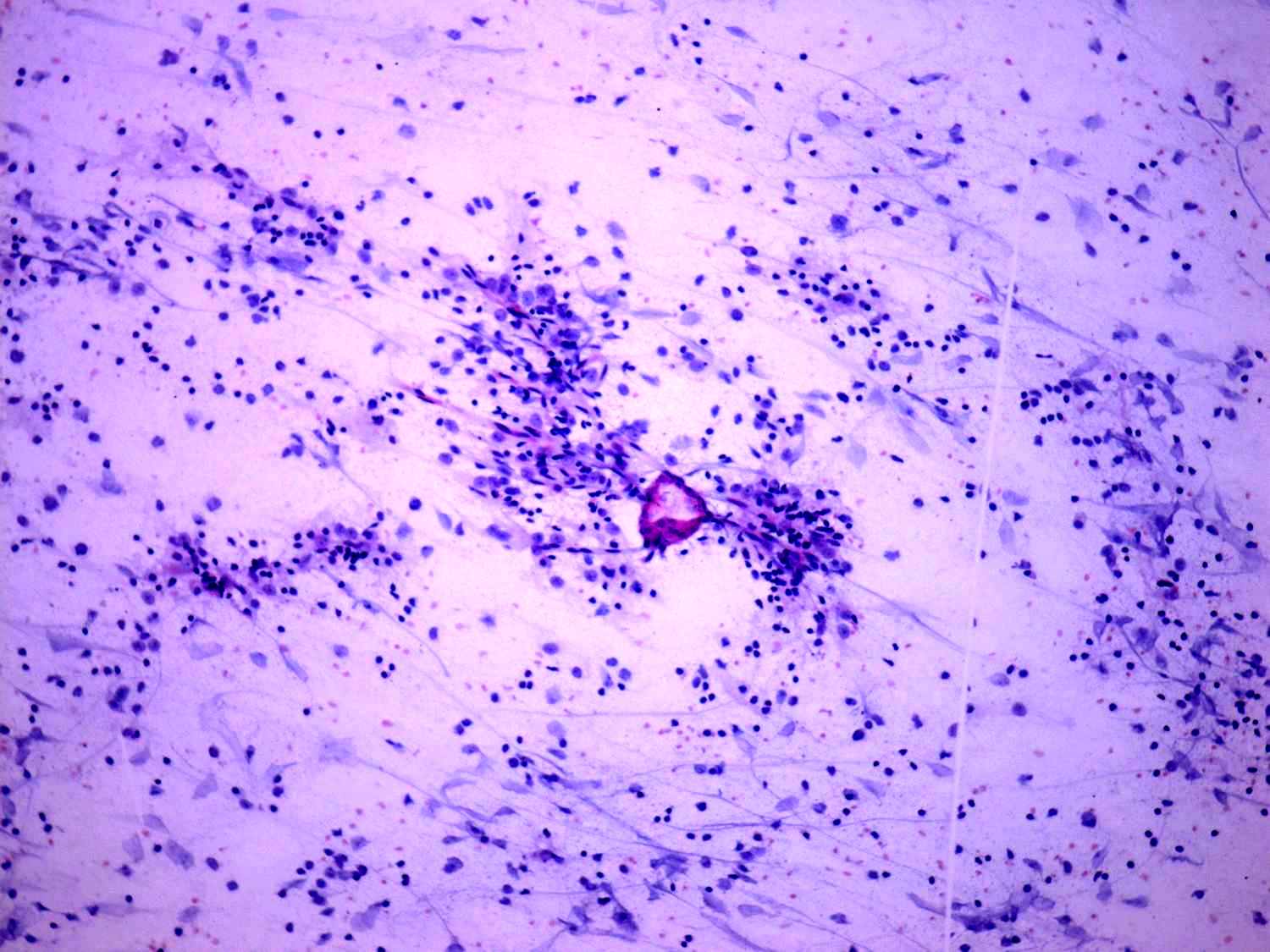
Chronic lymphocytic thyroiditis - Case 32. (cytologic picture 1)
Pap-smear, 100x. Follicular cells mixed with heterogeneous lymphoid cells.