Menu
Case histories
Lectures
Lymphocytic thyroiditis
List of cases
Videorecords
Pitfalls
Course book
Course on US
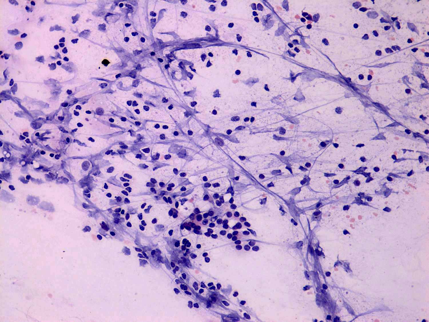
Chronic lymphocytic thyroiditis - Case 32. (cytologic picture 2)
Pap-smear, 200x. Groups of follicular cells mixed with lymphoid elements and cellular debris.