Menu
Case histories
Lectures
Lymphocytic thyroiditis
List of cases
Videorecords
Pitfalls
Course book
Course on US
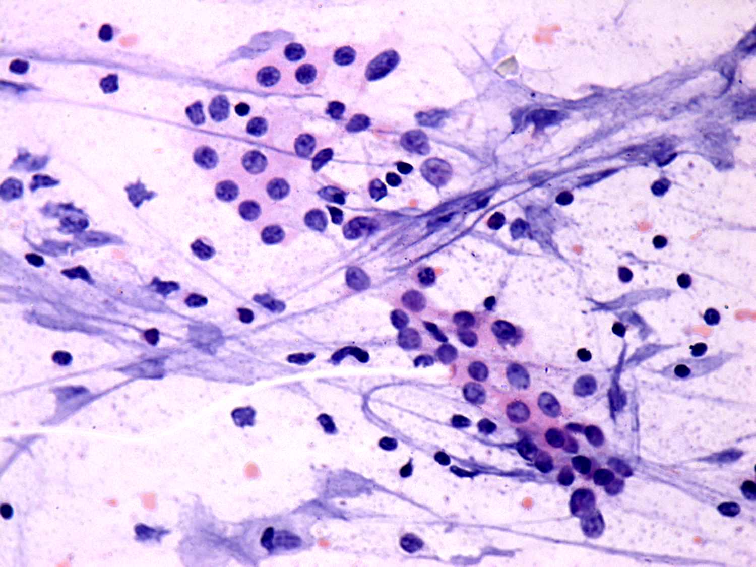
Chronic lymphocytic thyroiditis - Case 32. (cytologic picture 3)
Pap-smear, 400x. Follicular cells contain prominent nucleoli.