Chronic lymphocytic thyroiditis - Case 32. |
|
Clinical presentation: a 25-year-old woman visited us because we offered her hypothyroid mother to screen her first degree female relatives for hypothyroidism every three years. The TSH level of the patient was 4.08 mIU/L for three years, while her BMI was relatively low (158 cm and 46 kg).
Palpation: both thyroids were more firm than usual.
Functional state: euthyroidism with TSH-level 3.68 mIU/L, FT4 13.6 pM/L, aTPO 7 U/mL.
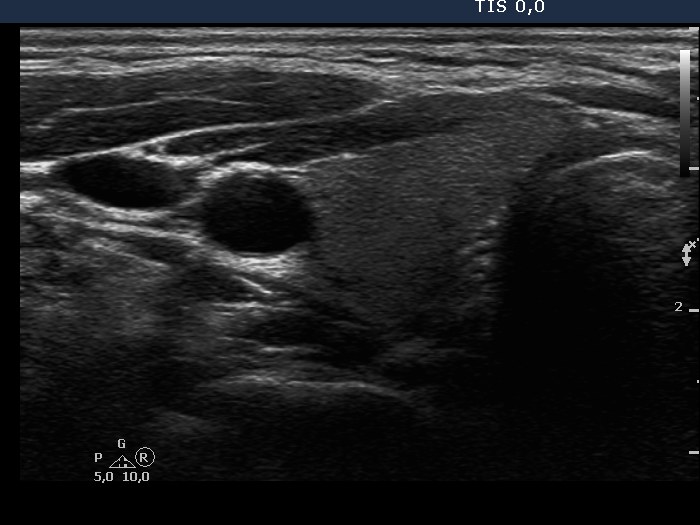
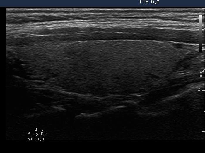
Ultrasonography: the thyroids were intact, i.e. the basic echo structure was echonormal and only a few small hypoechogenic areas were found. The echogenicity index was less than 1%. The vascularization was not specific.
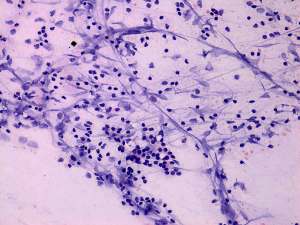
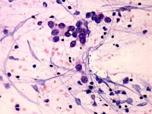
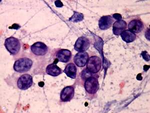
Cytology: resulted in Hashimoto's thyroiditis.
We suggested yearly TSH determination. One year later the TSH was 2.01 mIU/L, while two years after the present examination when the patient became pregnant, and the THS rose to 6.49 mIU/L on 5th gestational week. Replacement therapy was started.
Comment:
-
There is a converse relation between TSH and BMI.
-
This is a rare situation when neither the ultrasound nor the antibody test disclosed the underlying autoimmune thyroiditis. Nevertheless, in the early phase of the disease this possibility has to be taken into account.










