Menu
Case histories
Lectures
Papillary cancer
List of cases
Videorecords
Pitfalls
Course book
Course on US
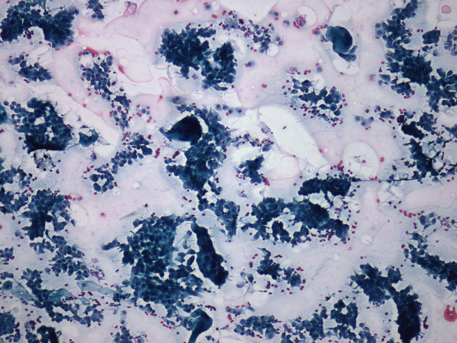
Papillary carcinoma - Case 2. (cytologic picture 1)
Pap-smear, 100x. Irregular clusters of follicular cells and multinucleated giant cells.