Menu
Case histories
Lectures
Papillary cancer
List of cases
Videorecords
Pitfalls
Course book
Course on US
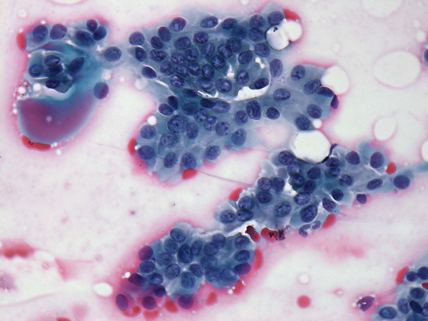
Papillary carcinoma - Case 2. (cytologic picture 4)
Pap-smear, 400x. Irregular cluster with nuclear crowding and overlapping.