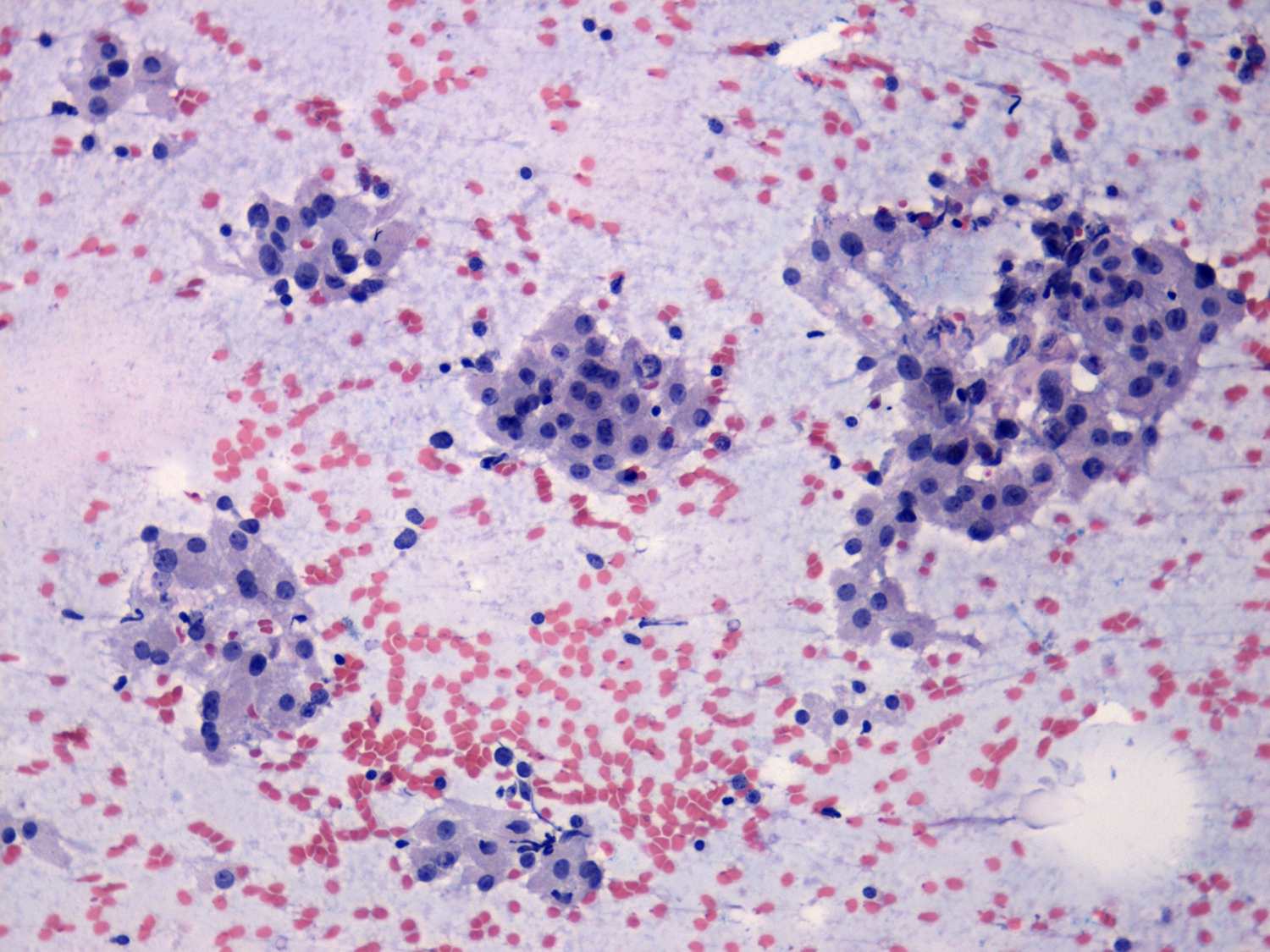
Chronic lymphocytic thyroiditis - Case 33. (cytologic picture 3)
|
|
|
|
|
Pap-smear, 200x. Small hyperchromatic lymphocytes are mixed with oxyphilic cells within the cell groups.

