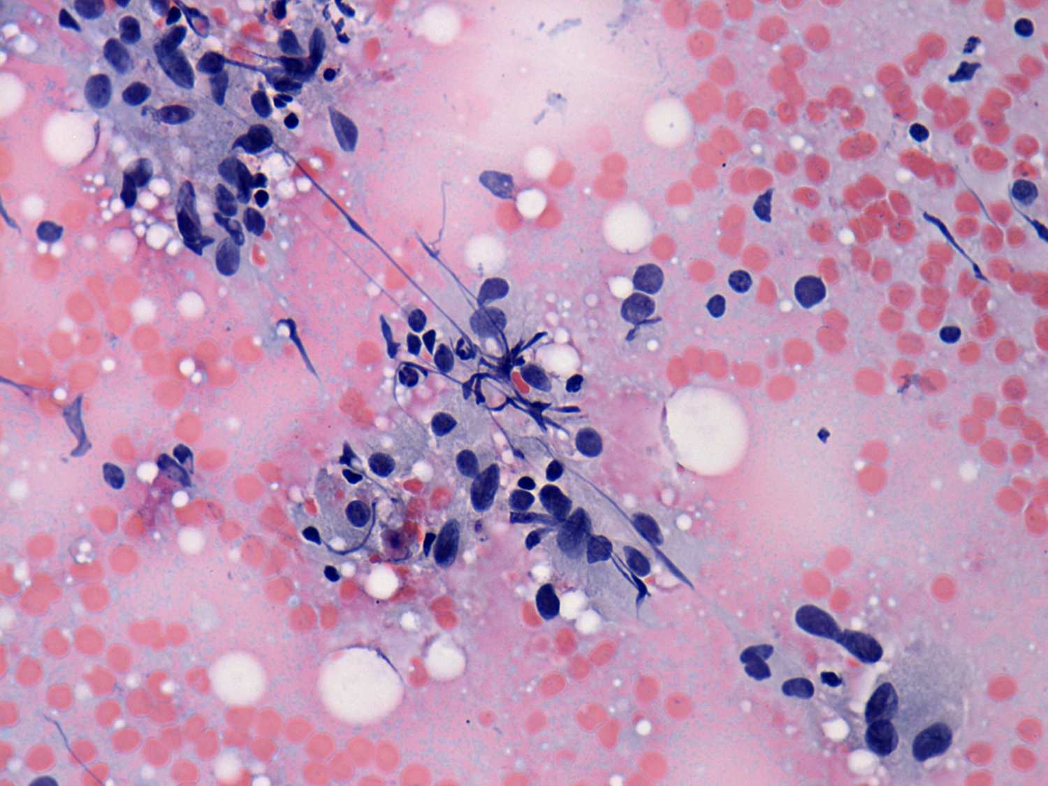
Chronic lymphocytic thyroiditis - Case 33. (cytologic picture 4)
|
|
|
|
|
Pap-smear, 400x. Lymphoid cells, oxyphilic cells and nuclear debris are found. One thyrocyte in the lower right corner of the image contains an intranuclear groove.

