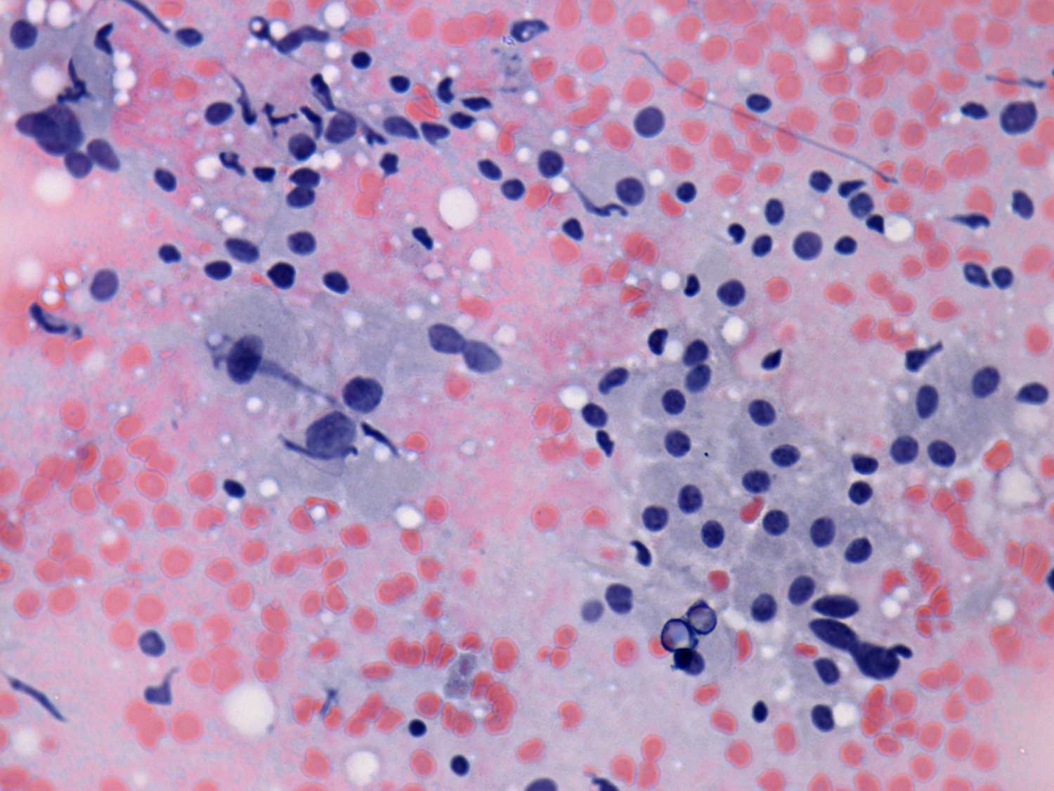
Chronic lymphocytic thyroiditis - Case 33. (cytologic picture 5)
|
|
|
|
Pap-smear, 400x. Typical presentation of a Hashimoto's thyroiditis: follicular cells presenting oxyphilic metaplasia are mixed with heterogeneous lymphoid cells.

