Menu
Case histories
Lectures
Lymphocytic thyroiditis
List of cases
Videorecords
Pitfalls
Course book
Course on US
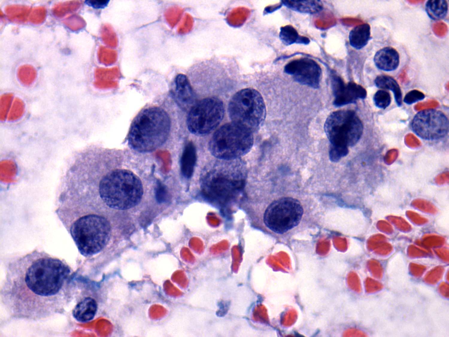
Chronic lymphocytic thyroiditis - Case 33. (cytologic picture 6)
Pap-smear, 1000x. Thyrocytes contain large prominent nucleoli.