Menu
Case histories
Lectures
De Quervain's thyroiditis
List of cases
Videorecords
Pitfalls
Course book
Course on US
QUICK TOUR
- Case studies - sample case 1 of 6:
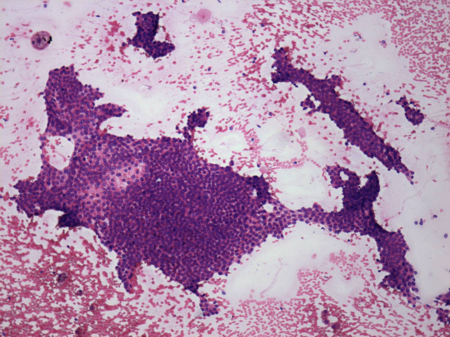
Subacute granulomatous de Quervain's thyroiditis - Case 6.
Five months after initial investigation (cytologic picture 3)
Pap-smear, 100x. A papillary growth pattern is demonstrated.