Differential diagnostic of cystic lesions - table 2
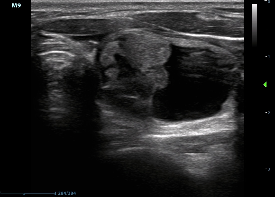
Left lobe horizontal and longitudinal scan
Left lobe, color Doppler mode and elastoscan

In many instances we cannot clearly categorize a cystic nodule. This nodule presents sings of a spongiform and an eccentric type cyst. Although elastography has no relevance in the event of a cystic nodule, the image demonstrates that the solid part is hard (blue) while the cystic part is soft (green and red).

mask