The borders of the nodule - case 638 |
|
Clinical presentation: A 68-year-old woman was referred for evaluation of a nodule discovered on neck ultrasonography. She was treated for breast cancer, which gave metastasis to the lung.
Palpation: a small hard nodule in the right lobe.
Functional state: euthyroidism with TSH 1.99 mIU/L.
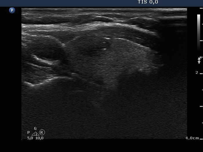
Ultrasonography. There was a hypoechogenic nodule with cotton-like hyperechogenic patches and smaller punctate hyperechogenic granules in the right lobe. The nodule presented intranodular blood flow and lobulated margins.
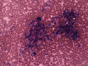
Cytological diagnosis: suspicion of medullary carcinoma.
Blood test for calcitonin: serum-level of calcitonin was 14.39 pM/L (normal value: 0-3.36).
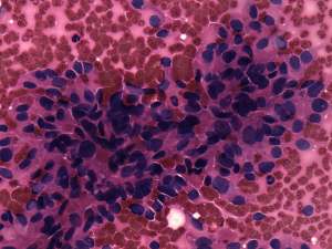
Histopathology: medullary carcinoma
Comment. The tumor presents lobulated margins.










