Lymph nodes in the neck - Case 1410 |
|
Clinical data: A 67-year-old woman was referred for evaluation of a lymph node detected on follow-up investigation. She underwent on total thyroidectomy for multinodular goiter 14 years ago. Histopathology disclosed benign hyperplastic nodules and a solitary focus of papillary cancer with a maximal diameter of 12 mm in the left lobe. The patient did not get radioiodine therapy and was well.
Palpation: no abnormality.
Functional state: euthyroidism on daily 100 microgram levothyroxine (TSH 3.07 mIU/L).
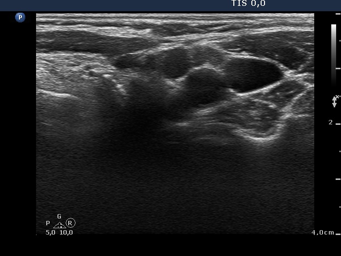
Ultrasonography: We could not find thyroid parenchyma. A small lymph node was present lateral to the left thyroid bed. The hilum was absent.
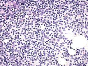
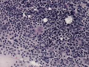
Cytology was performed and resulted in benign reactive lymphoid lesion.
Wash-out thyroglobulin was 0 ng/mL.









