Selected topics - intranodular hyperechogenic figures - Table 1 (large). Coexistent echogenic lines and granules

doi: 10.24390/thyrosite.2018.ihf.01.2

Powdery tiny and usually pale granules and short lines are the most frequent subtype of intranodular figures. These are normal findings and represent normal pattern of a connective tissue. Occasionally they appear in the form of a bit brighter granules and lacking lines. In that case the differentiation from punctate echogenic foci including microcalcification is not possible. 
Occasionally large thick, amorphous strings are found which correspond to thick connective tissue. 
In the event of proliferation of connective tissue (or fibrosis) more bright granules and longer lines occur simultaneously. The presentation is very similar to back wall cystic figures. Because the wall of cystic areas is composed of connective tissue, it is not surprising that the differentiation between these two subgroups is not always possible.
In contrast with the former issue which shares only a theoretical problem, the differentiation from punctate echogenic focus (microcalcification) is a real concern. If we overlook the hyperechogenic lines which are always present in fibrosis, bright and relatively larger granules are easily misinterpreted as punctate echogenic foci (microcalcifications).

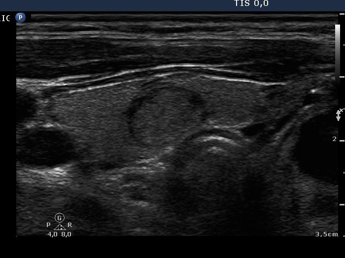
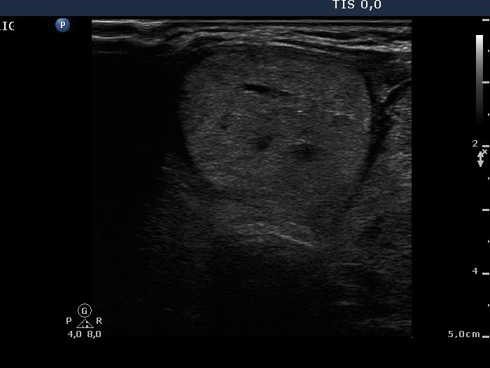
Benign Hashimoto's thyroiditis (cytological diagnosis) - case 1251

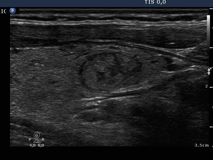
Benign Hashimoto's thyroiditis (cytological diagnosis) - case 1652

First, we demonstrate two cases of Hashimoto's thyroiditis with pronounced fibrotic changes. Both present pale and bright hyperechogenic granules and lines corresponding to normal and excessive connective tissue. Neither of the discrete areas are nodules in a pathological sense.

   

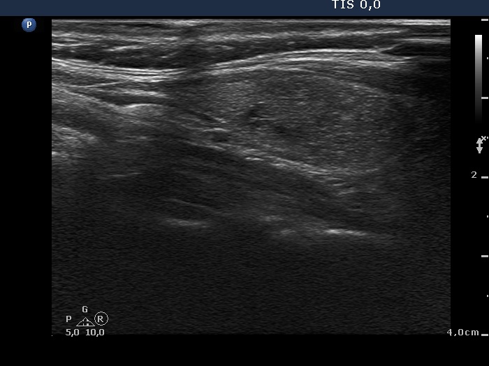
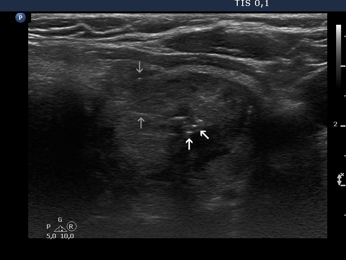
Benign colloid goiter (cytological diagnosis)

The nodule has both pale and bright hyperechogenic lines and granules. Arrowheads point to figures representing the normal architecture of the thyroid while arrows do to thickened connective tissue.

 

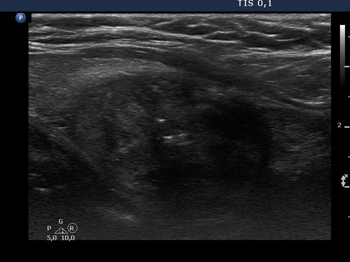
Benign colloid goiter (cytological diagnosis) - case 1429

The nodule has pale hyperechogenic granules and lines corresponding to the normal architecture of the thyroid consisted of connective tissue.

   

Intact right lobe without any pathological finding and benign hyperplastic nodules in the left lobe (histological diagnosis) - case 803

Right lobe

Left lobe

Both the pseudonodule in the right lobe (upper images) and the benign nodule in the left lobe (lower images) have numerous pale granules and lines which correspond to the normal architecture of the thyroid and correspond to a connective tissue. The finding of a few more bright granules and lines are the ultrasound presentation of a thickened connective tissue.

   
   
   

Benign cystic-colloid goiter (cytological diagnosis) - case 1473

The solid part has pale and bright granules and lines which correspond to a connective tissue.
   

Benign lesions (cytological diagnosis) - case 1644

Right lobe
Left lobe

Back wall cystic figures are presented in the left images, while the origin of the hyperechogenic figures in the right image are in part ambiguous: several of them are located in the back wall of tiny cystic areas, others seem not to be related to cystic fluid. The latter are therefore presentations of a connective tissue.

   
   

Benign lesions (cytological diagnosis) - case 808

Right lobe
Left lobe

There are similar hyperechogenic granules and lines in each nodule. On the other hand, these figures have different origins. In the right lesions they correspond to connective tissue, while in the left cystic nodule they are located exclusively dorsal to small cystic areas, which means that these are caused by a posterior back wall enhancement.

   

Benign cystic lesion (cytological diagnosis) - case 420

The intranodular hyperechogenic figures are unusually large. The ventral ones correspond to thickened connective tissue and/or to large aggregates of colloid crystals (comet-tail artifacts), while those located in the back wall of the cyst are caused by a posterior acoustic enhancement.

   

Benign hyperplastic nodule (histological diagnosis) - case 1662

A cystically dilated macrofolliculus in a Graves' patient (cytological diagnosis) - case 969

The hyperechogenic lines and granules occur both within the parenchyma and dorsal to small cystic areas. The former correspond to connective tissue, the latter do to a posterior back wall enhancement.

The hyperechogenic lines and granules are found almost exclusively dorsal to tiny cystic areas; therefore these belong to figures caused by a posterior back wall enhancement.