|
|
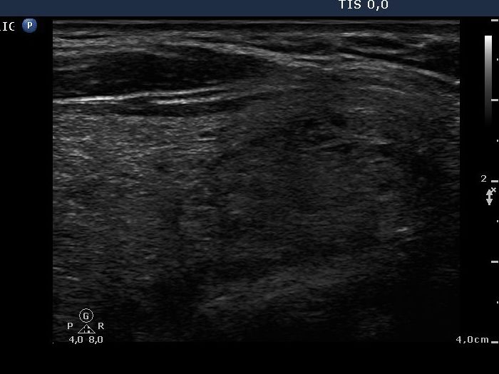
Benign nodular hyperplasia - Case 1. |
|
Clinical data: A 45-year-old man who was operated on a benign hyperplastic nodule 17 years ago. Ha had difficulties in swallowing in the last few months.
Palpation: an enlarged right lobe with multiple nodules.
Functional state: euthyroidim with TSH-level 1.43 mIU/L.
Ultrasonography: The right lobe was enlarged and had multiple small hypoechogenic lesions. There was a minimally hypoechogenic, larger nodule in the lower part of the lobe. The left lobe was resected.
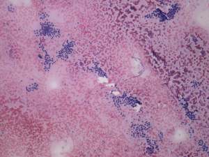
Cytological diagnosis: benign colloid goiter.
The patient was operated because of compression sign caused by the recurrent goiter.
Histopathology disclosed benign, hyperplastic nodules.










