Menu
Case histories
Lectures
Benign nodular hyperplasia
List of cases
Videorecords
Pitfalls
Course book
Course on US
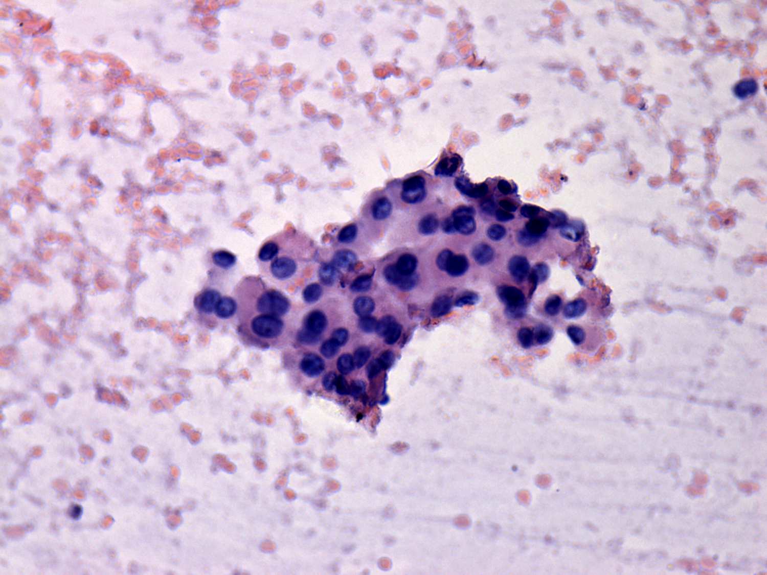
Benign nodular hyperplasia - Case 29. (cytologic picture 5)
Pap-smear, 400x. Follicular cells display oxyphilic metaplasia.