Benign nodular hyperplasia - Case 29. |
|
Clinical presentation: a 45-year-old woman with the suspicion of hyperthyroidism.
Palpation: no abnormality.
Functional state: euthyroidism (TSH 2.17 mIU/L, FT4 13.1 pM/L).
Ultrasonography: a moderately hypoechogenic nodule in the right lobe.
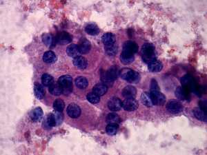
Cytological report: Hürthle-cell tumor.
Histopathology: disclosed nodular colloid goiter with degenerative changes.
Comment: the lack of dissociating cells stands against the possibility of Hürthle-cell tumor, while the presence of prominent nucleoli argues for that.







