Menu
Case histories
Lectures
Papillary cancer
List of cases
Videorecords
Pitfalls
Course book
Course on US
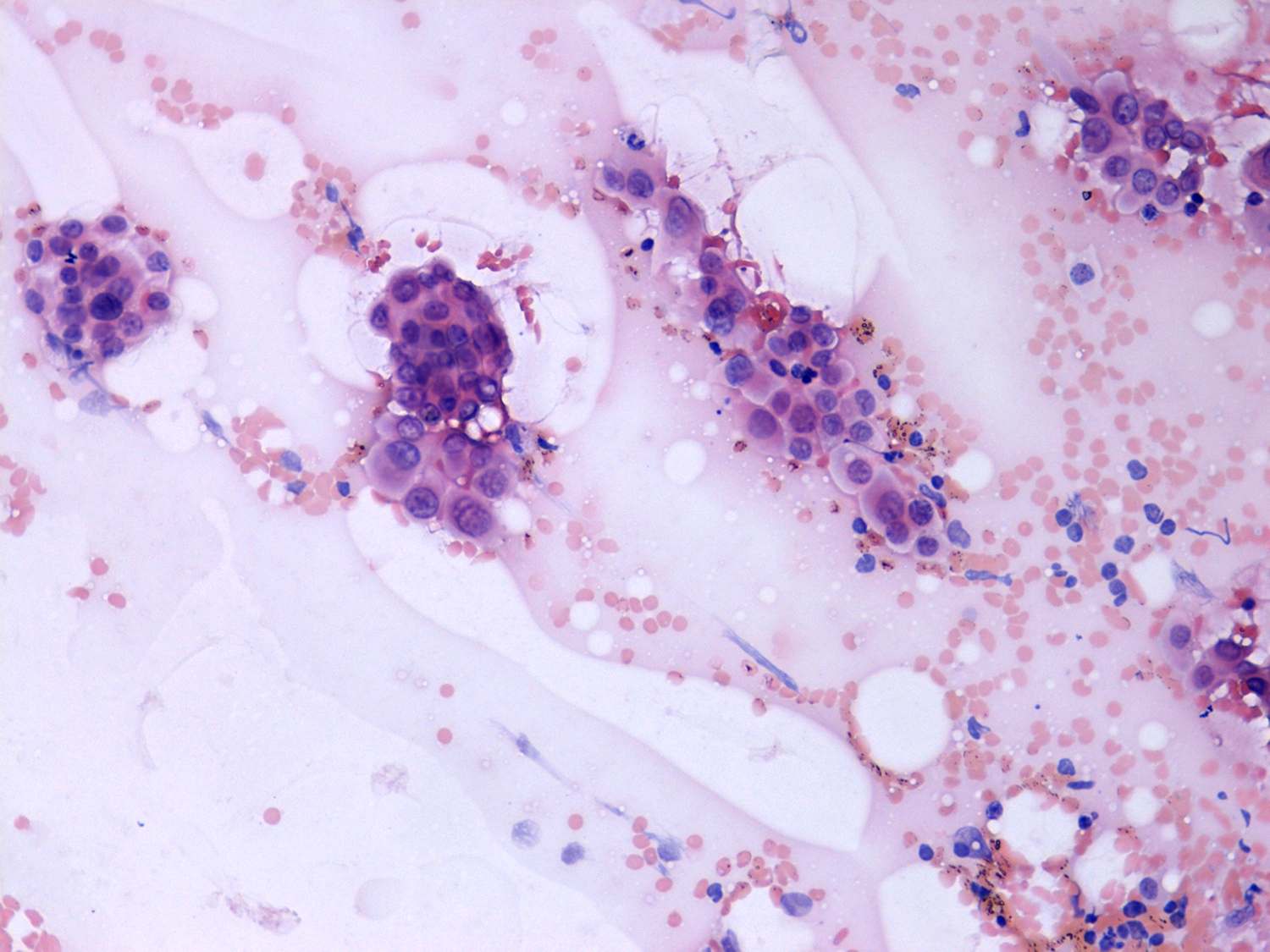
Papillary carcinoma - Case 7. (cytologic picture 3)
Pap-smear, 200x. Note the irregular chromatin structure and the presence of inclusions.