Menu
Case histories
Lectures
Papillary cancer
List of cases
Videorecords
Pitfalls
Course book
Course on US
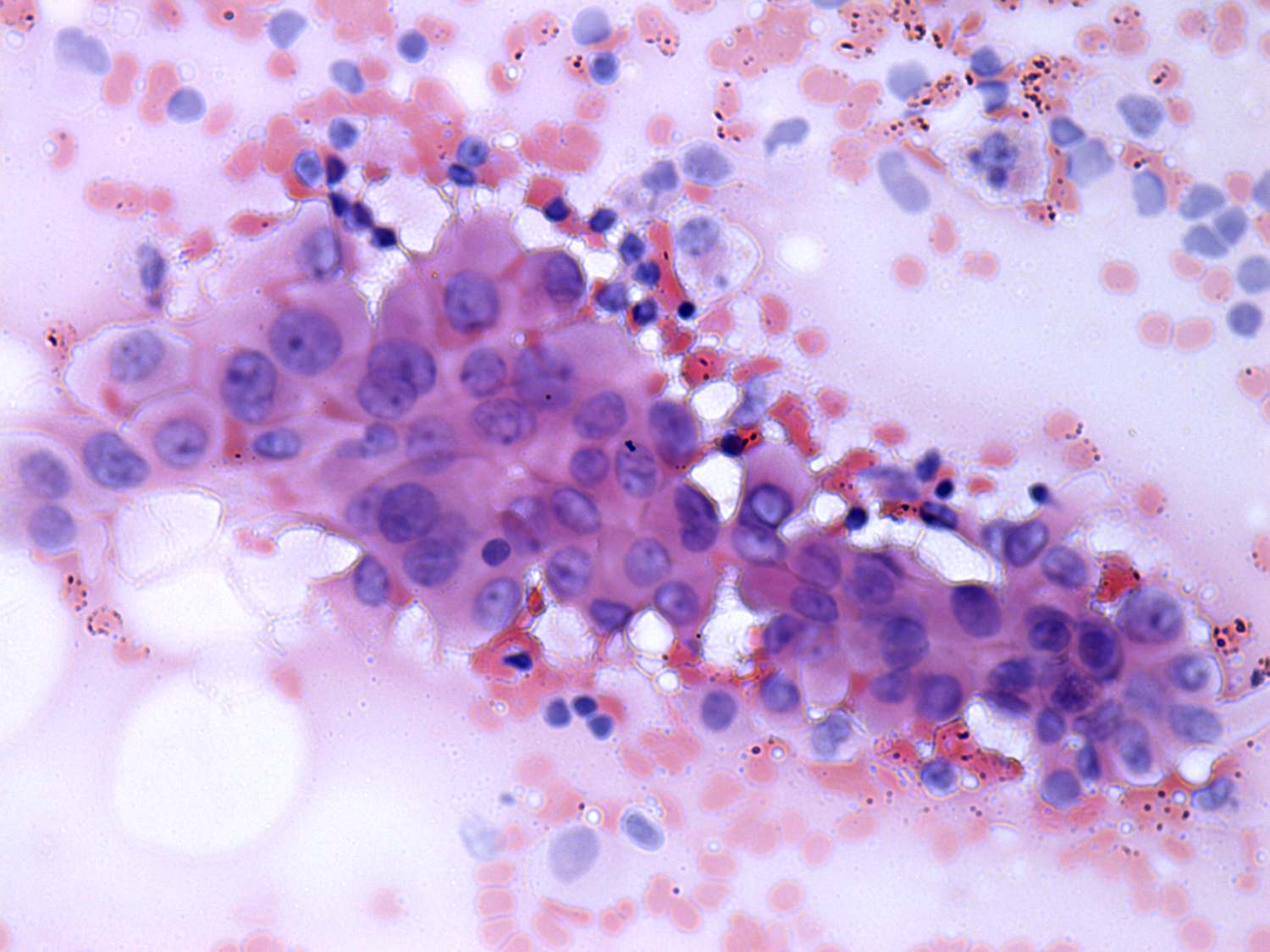
Papillary carcinoma - Case 7. (cytologic picture 5)
Pap-smear, 400x. Relatively great proportion of follicular cells contains inclusion.