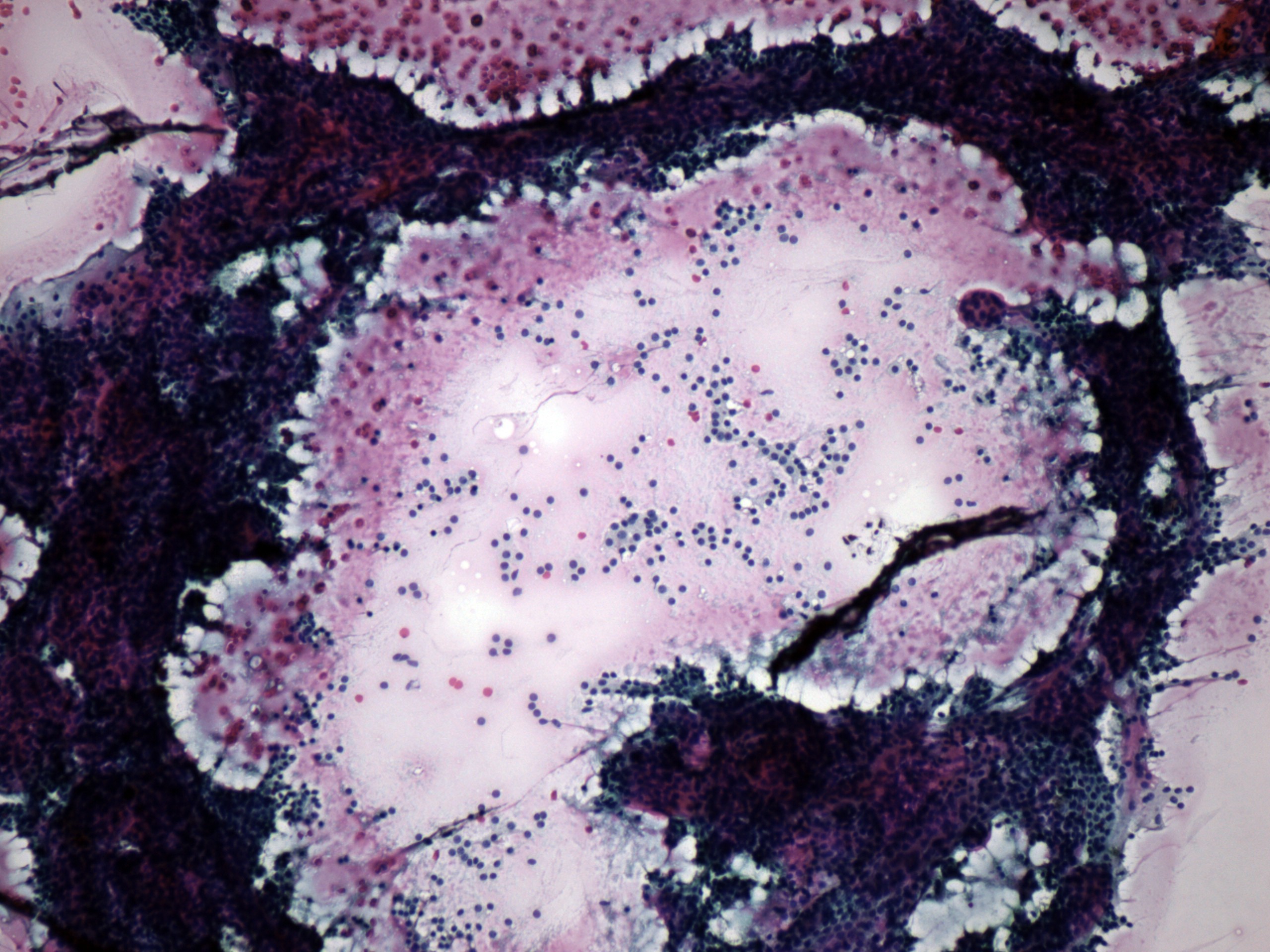
Benign nodular hyperplasia - Case 60. (cytologic picture 1)
|
|
|
|
|
Pap-smear, 100x. There is diffuse colloid in the background. Follicular cells are located in a large arborizing hyperplastic papillary fragment, in microfollicules and dispersed.

