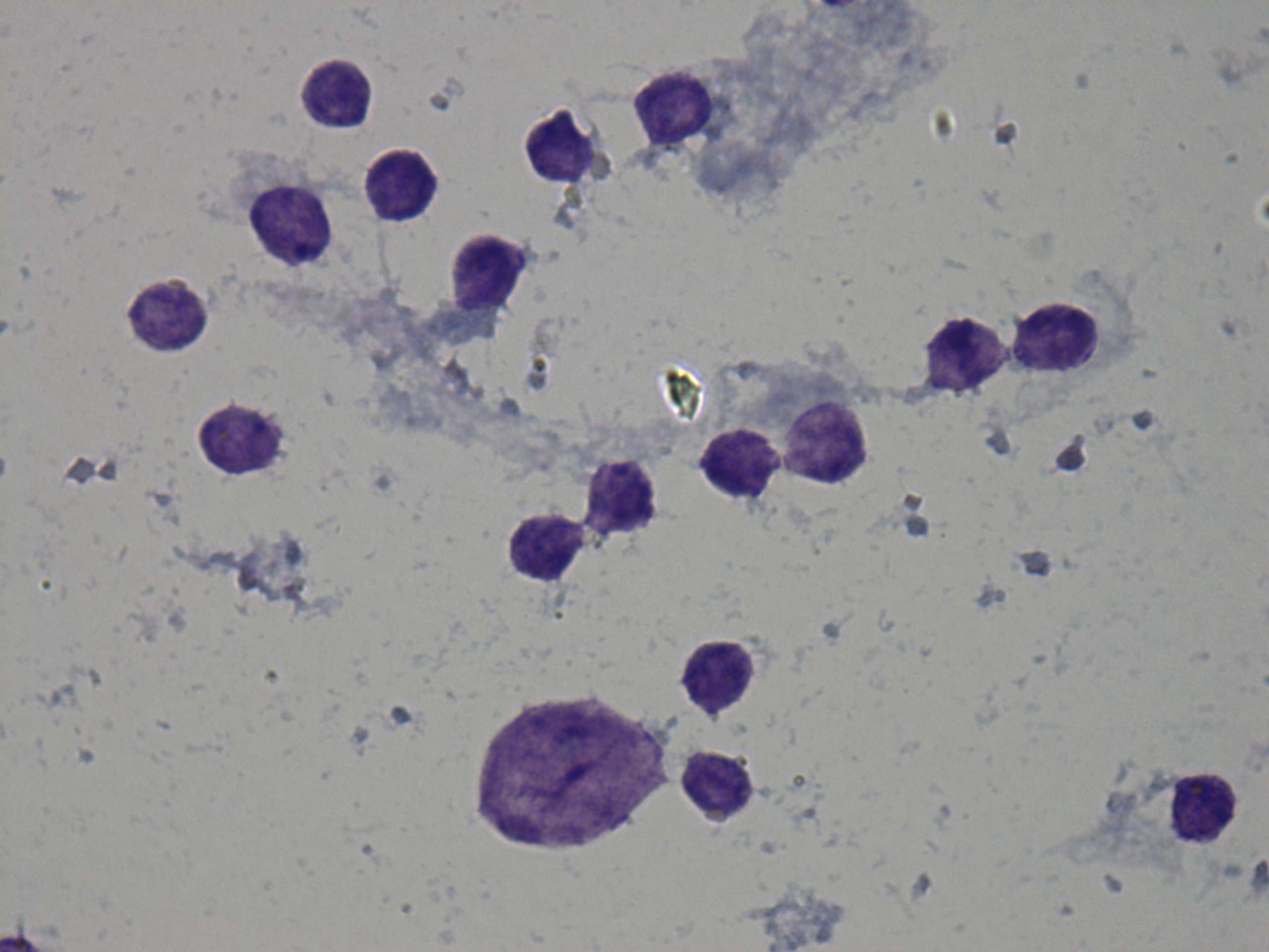
Wright-Giemsa staining, 1000x. There is an extremely enlarged nucleus. Note the lack of inclusions and grooves.