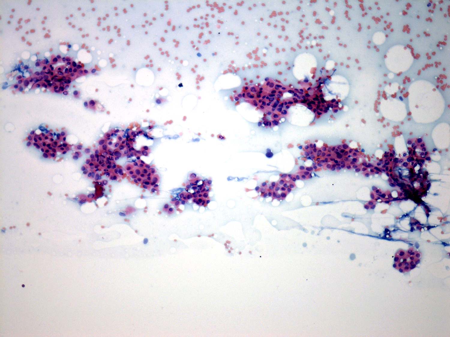
Papillary carcinoma - Case 39.
Follow-up investigation 13 months later (cytologic picture 1)
|
|
|
|
|
Pap-smear, 100x. Follicular cells form irregular clusters with nuclear crowding and overlapping.

