Menu
Case histories
Lectures
Papillary cancer
List of cases
Videorecords
Pitfalls
Course book
Course on US
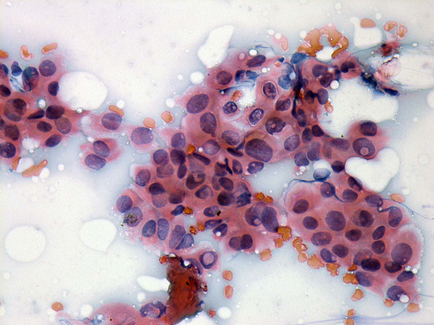
Papillary carcinoma - Case 39.
Follow-up investigation 13 months later
(cytologic picture 5)
Pap-smear, 400x. Elongated oxyphilic cells mixed with lymphocytes.