Menu
Case histories
Lectures
Papillary cancer
List of cases
Videorecords
Pitfalls
Course book
Course on US
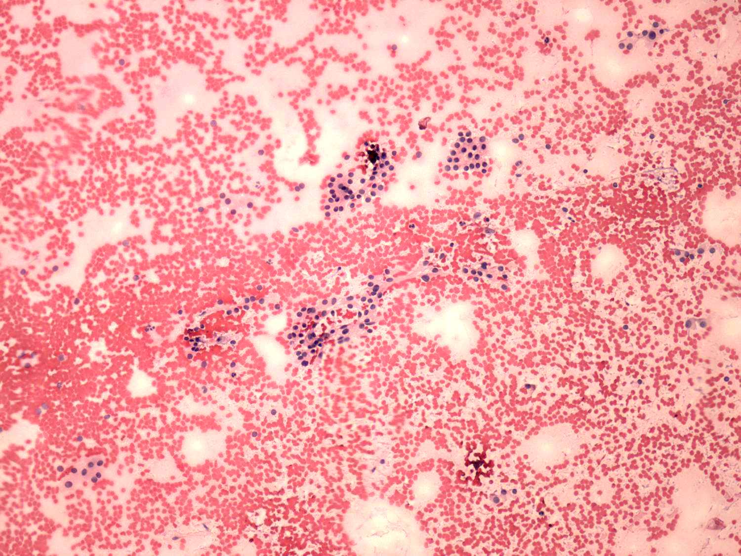
Papillary carcinoma - Case 41. (cytologic picture 1)
Pap-smear, 100x. There is no colloid in the background. A microfollicular growth pattern.