Papillary carcinoma - Case 41. |
|
Clinical data: a 17-year-old girl was referred for an evaluation of a newly discovered thyroid nodule. A solitary firm nodule was palpable in the right lobe.
Hormonal investigation: indicated euthyroidism with TSH 0.88 mIU/L.
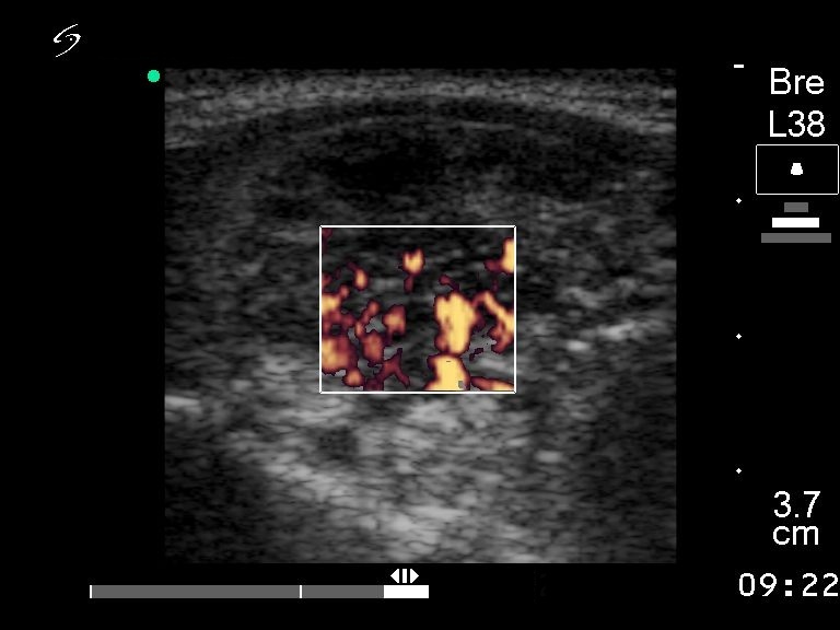
Ultrasonography revealed a solitary hypoechogenic nodule with increased intranodular flow.
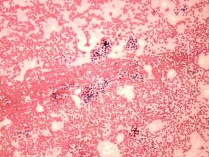
Cytology resulted in benign follicular proliferation.
Surgery was performed because of the size of the nodule.
Histopathology: papillary cancer.
Comment. It was one of our false negative cytological diagnosis caused by error of microscopical interpretation. We overlooked the presence of inclusions.







