Menu
Case histories
Lectures
Papillary cancer
List of cases
Videorecords
Pitfalls
Course book
Course on US
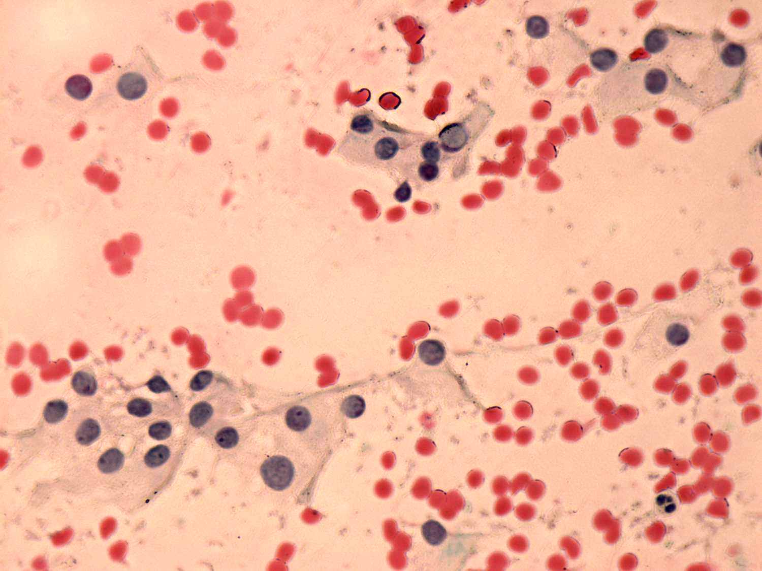
Papillary carcinoma - Case 41. (cytologic picture 4)
Pap-smear, 400x. Follicular cells display no atypia except for a nucleus with a typical inclusion.