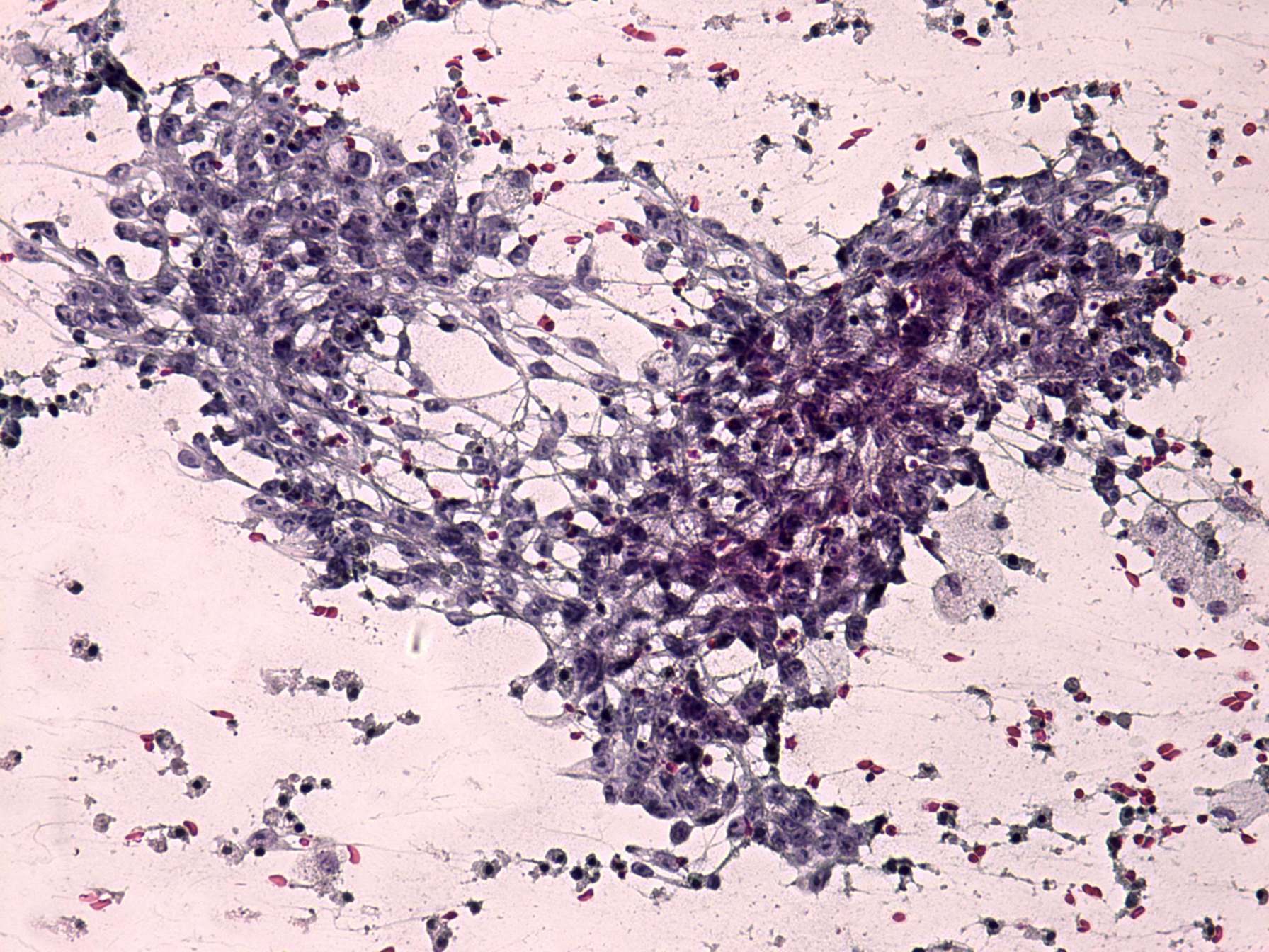
Lymph nodes in the neck - Case 6. (cytologic picture 2)

Metastasis of an adenocarcinoma of the colon


Previous picture Back to Case Maximize Next picture

Pap-smear, 200x.   Epithelial cells have prominent nucleoli.

mask