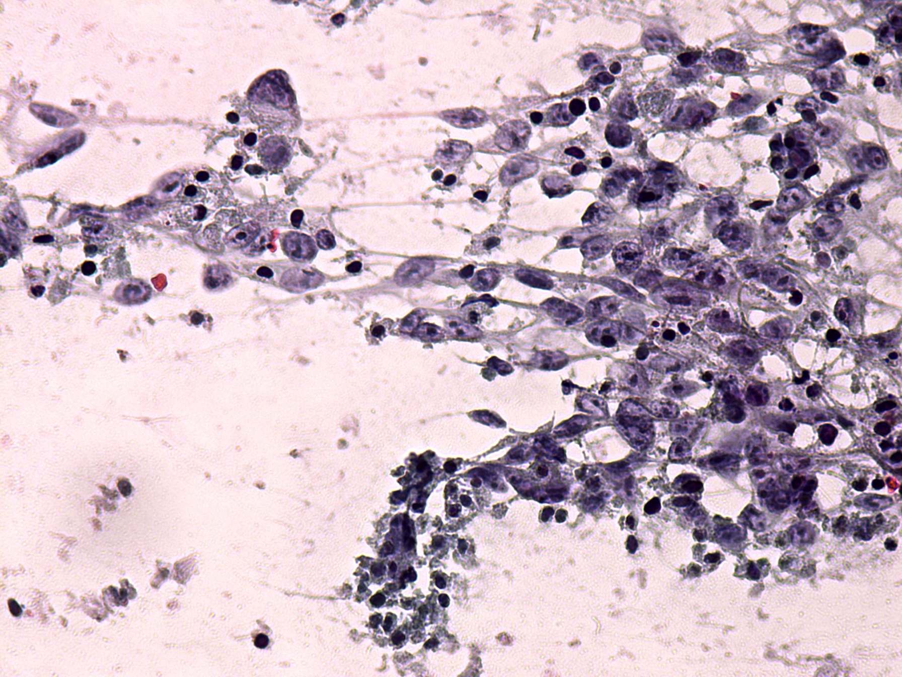
Lymph nodes in the neck - Case 6. (cytologic picture 4)
Metastasis of an adenocarcinoma of the colon
|
|
|
|
|
Pap-smear, 400x. Note large prominent nucleoli and several pleomorphic forms.

