Menu
Case histories
Lectures
Benign nodular hyperplasia
List of cases
Videorecords
Pitfalls
Course book
Course on US
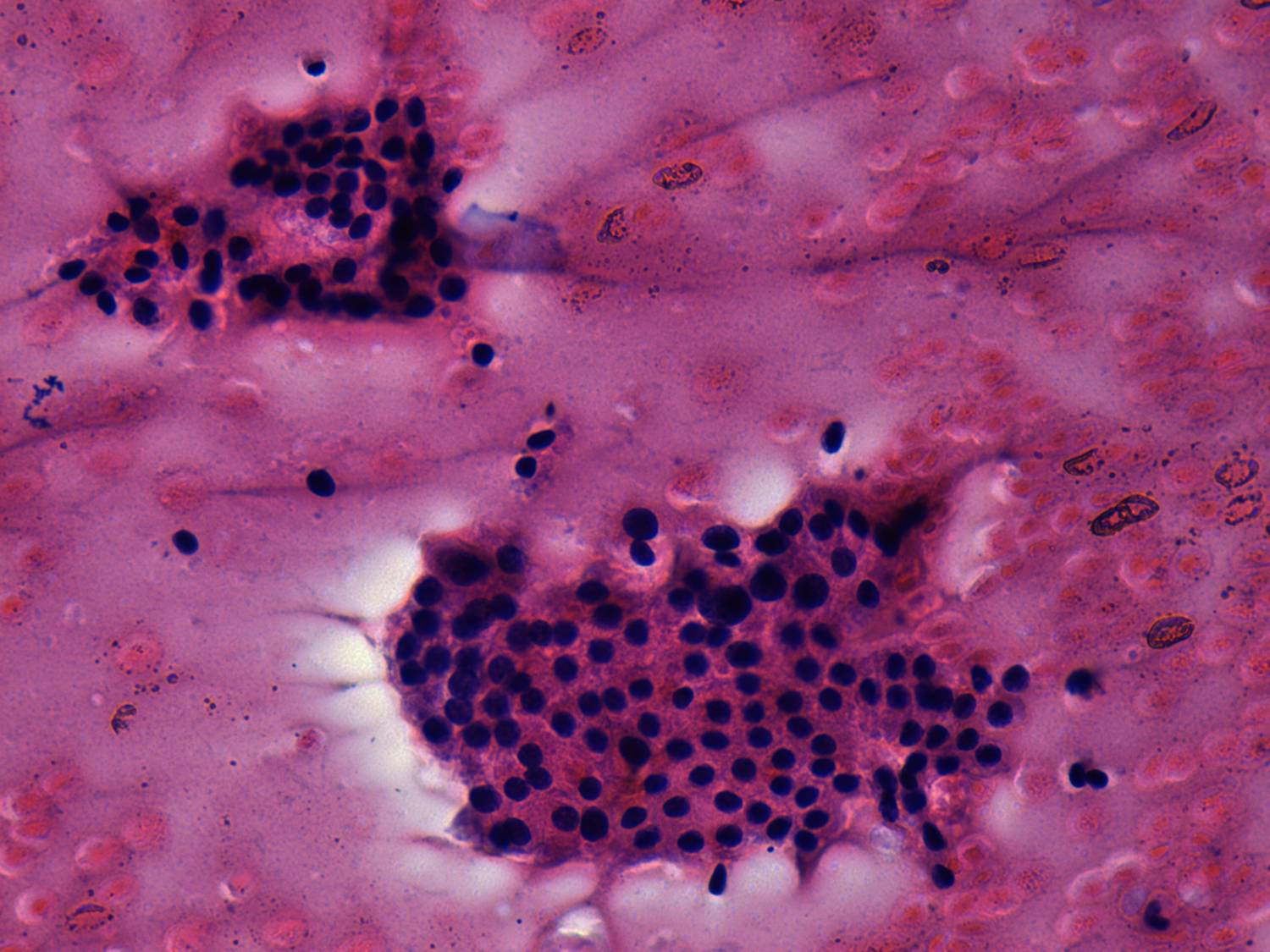
Benign nodular hyperplasia - Case 20. (cytologic picture 3)
Pap-smear, 200x. The lower cell group presents the so-called honey-combing pattern.