Menu
Case histories
Lectures
Benign nodular hyperplasia
List of cases
Videorecords
Pitfalls
Course book
Course on US
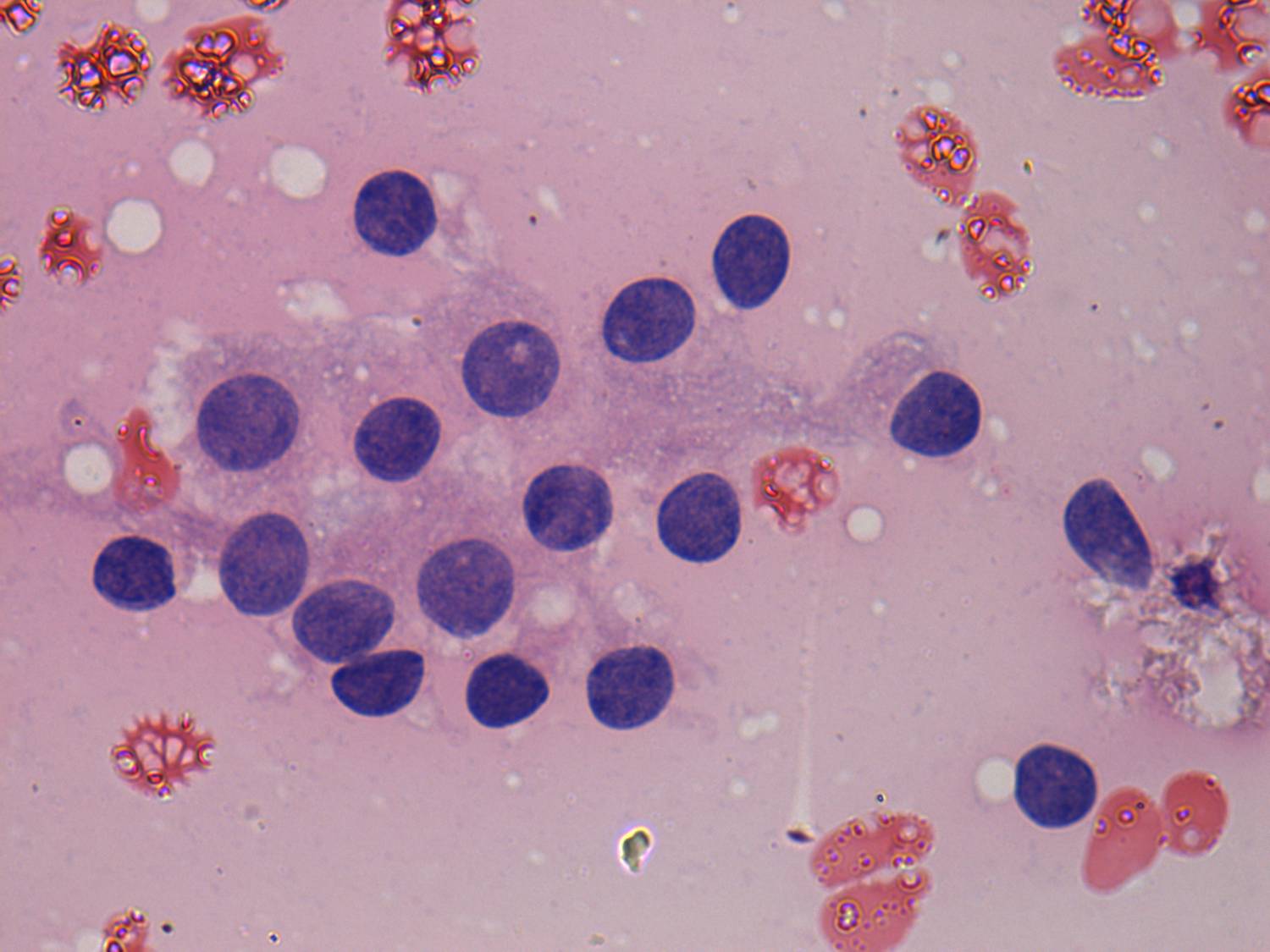
Benign nodular hyperplasia - Case 13. (cytologic picture 6)
Pap-smear, 1000x. There isn't any atypia. The chromatin structure is finely granular.