Benign nodular hyperplasia - Case 13. |
|
Clinical presentation: A 20-year-old woman was referred for an evaluation of a suddenly developed thyroid nodule.
Palpation: an elastic large nodule in the left lobe.
Functional state: euthyroidism (TSH 1.19 mIU/L).
Ultrasonography: There was a cystic nodule in the left lobe. The solid part of the nodule contained microcalcifications and displayed intranodular vascular pattern.
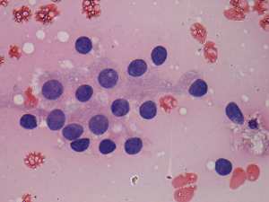
FNA was benign, cystic-colloid goiter.
The nodule was refilled next day after the evacuation. Surgery was performed.
Histopathology: benign hyperplastic nodule with degenerative changes.







