Menu
Case histories
Lectures
Papillary cancer
List of cases
Videorecords
Pitfalls
Course book
Course on US
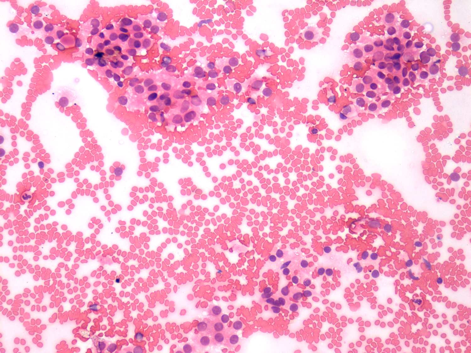
Papillary carcinoma - Case 9. (cytologic picture 3)
HE-smear, 200x. Irregular clusters with nuclear crowding are demonstrated in the upper part of the image.