Menu
Case histories
Lectures
Papillary cancer
List of cases
Videorecords
Pitfalls
Course book
Course on US
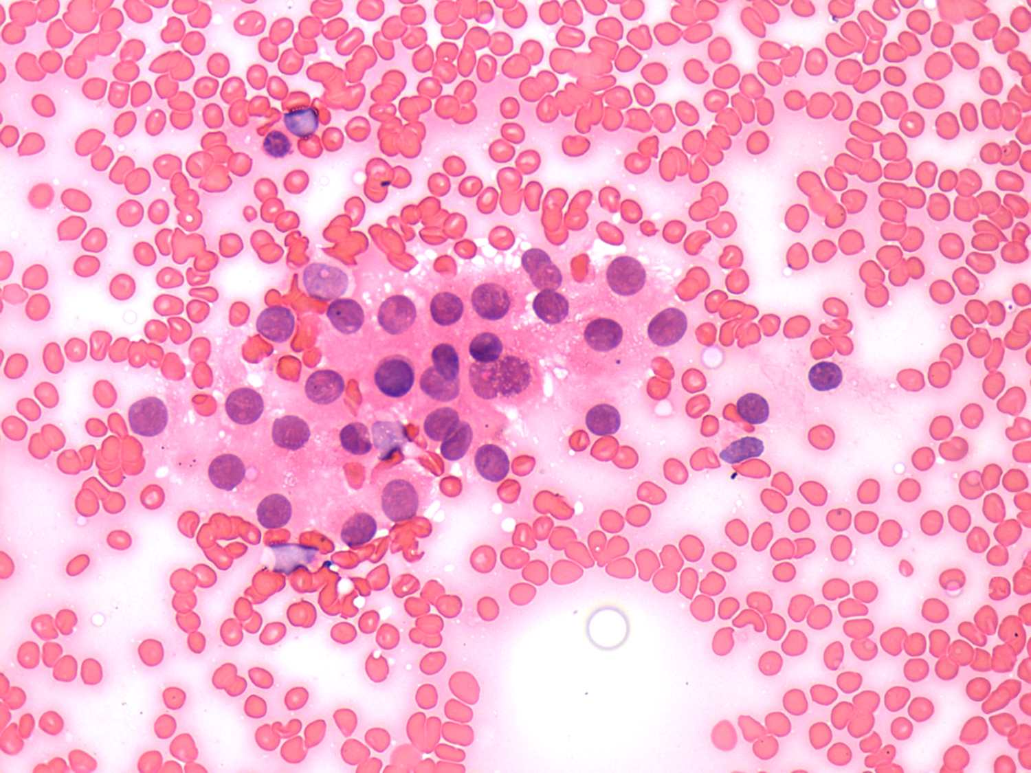
Papillary carcinoma - Case 9. (cytologic picture 4)
HE-smear, 400x. Follicular cells are enlarged.